アネロスジャパンで5,000円以上のお買い上げは送料無料!
アネロスとエネマグラを入れてエコーを撮...
 
通知
すべてクリア

アネロスとエネマグラを入れてエコーを撮影してみました

11 投稿
3 ユーザー
4 いいね
1,994 表示
じぇね
投稿: 11
スレッド主
(@jnesis71)
脱初心者
登録日: 11か月 前

前立腺に本当にアネロスが当たっているかたしかるために、ポケットエコーレンタルサービスを使ってアネロスとエネマグラを入れてエコーを撮影してみました。

映像や画像をトピック下に載せていきます。

SYNヒリックストライデントとEX2をそれぞれ使いました。

 


10件の返信
じぇね
投稿: 11
スレッド主
(@jnesis71)
脱初心者
登録日: 11か月 前

まず、ヒリックスシントライデントを入れた映像です。

本体がシリコン製で超音波が反射しないのか、うまく撮影されませんでした。

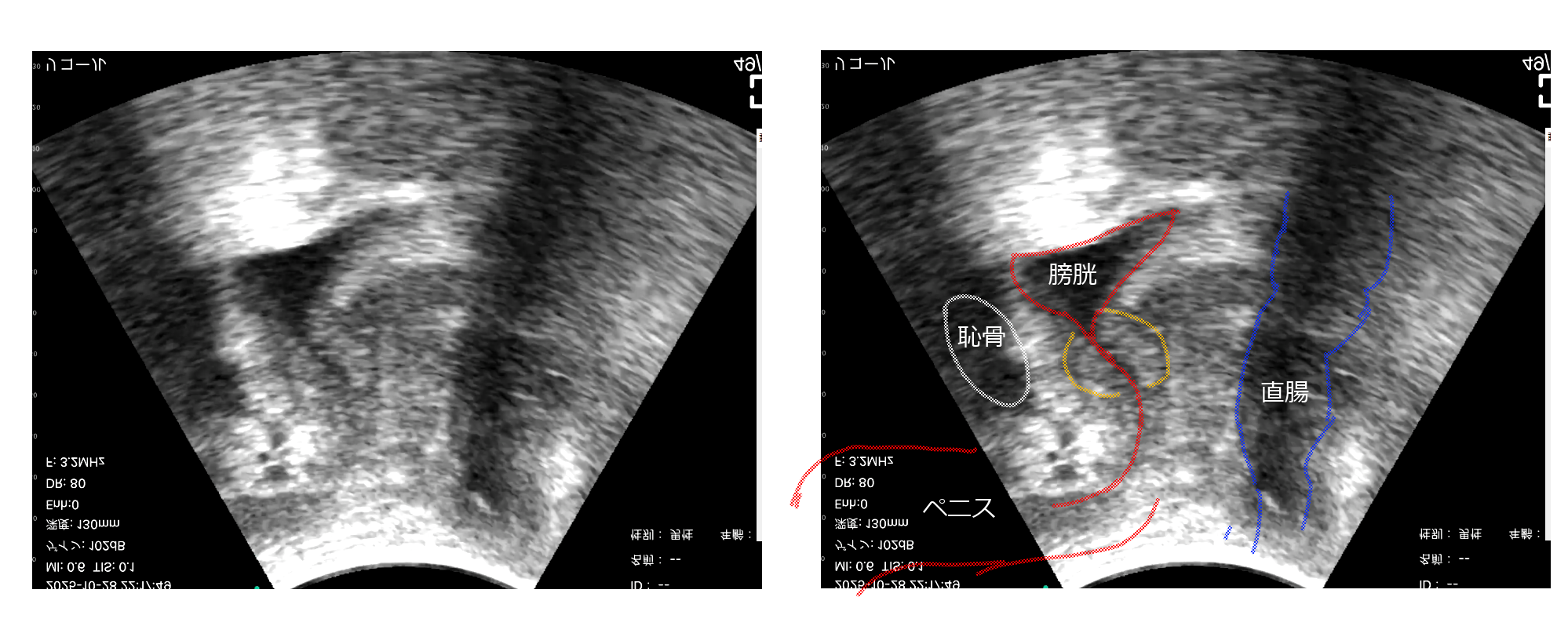
左向きの体を横から見た図です。左の黒い塊が恥骨側で、右の黒い塊が直腸です


返信
じぇね
投稿: 11
スレッド主
(@jnesis71)
脱初心者
登録日: 11か月 前

続いて、エネマグラEX2を入れて撮影しました。

本体がプラスチック製のおかげか、かろうじて白い形が映っています。

左が恥骨で右が直腸、直腸の中に固い物体らしい白い部分があります。


返信
じぇね
投稿: 11
スレッド主
(@jnesis71)
脱初心者
登録日: 11か月 前

位置関係はこういう形です。だいたい前立腺の位置を把握できました。


返信
じぇね
投稿: 11
スレッド主
(@jnesis71)
脱初心者
登録日: 11か月 前

添付動画はEX2を入れたときのを2倍速にしたものですが、この映像により私の体形だと

お尻に力を入れてもエネマグラの影らしき白い塊が直腸にまっすぐ引き込まれていて、前立腺側に倒れていないことがわかりました。

そしてお尻を引き締めたときに前立腺も一緒に左上に逃げるように動いているので、前立腺の刺激になってないらしいことがわかりました。

前立腺が一塊ぶん前にあるせいなのか。次ページへ。


返信
固定ページ 1 / 2